Onkologie

Freiburger Uniklinik startet Lungenkrebsscreening

Teilen

Stand

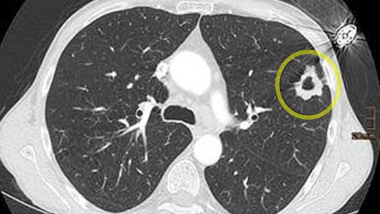
In Deutschland erkranken jedes Jahr etwa 57.000 Menschen an Lungenkrebs. Viele von ihnen haben lange geraucht. Das Universitätsklinikum Freiburg hat als erste Klinik in Baden-Württemberg die Genehmigung erhalten, ein Lungenkrebsscreening per CT für starke Raucherinnen und Raucher anzubieten.

Jochen Steiner im Gespräch mit Prof. Christopher Schlett, Radiologe am Universitätsklinikum Freiburg

Erstmals publiziert am
Stand
Interview mit
Christopher Schlett Radiologe am Universitätsklinikum Freiburg
Das Interview führte
Jochen Steiner
Jochen Steiner, SWR Kultur Moderator